Whatsapp of Ariana Medicare Tour Services to iranWhatsapp العربي

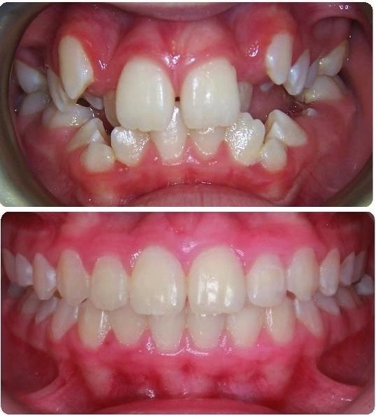
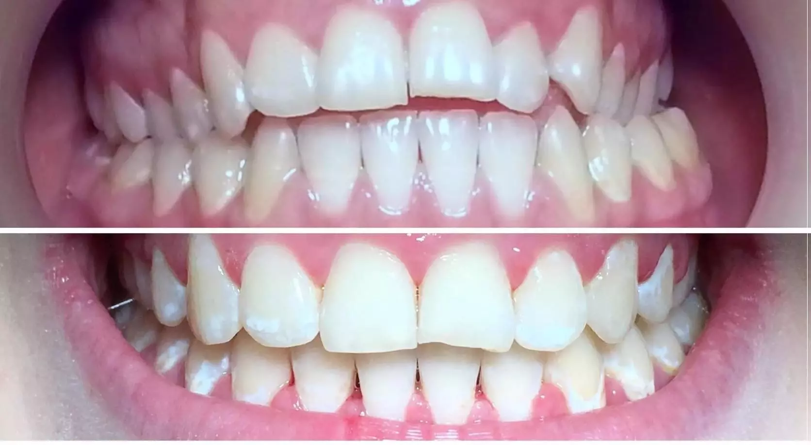
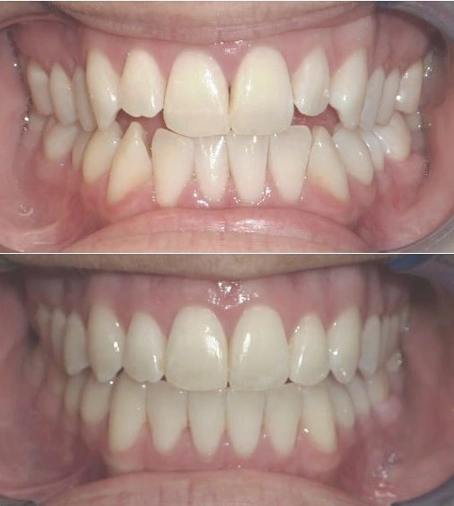
Before & After Photos

Take a look at ‘before and after’ photos of people who got their dental orthodontics done in Iran.

What We Offer

ORTHODONTICS Procedure
Clinic and doctor visits,
Orthodontics  in clinic, post-operative care, recovery, and follow-up

T-Visa Authorization Code
T-visa authorization code. (Note that there is a separate visa fee that the patient must pay when receiving the visa, which it is not part of this package).

Pick-up & Transfer
Airport pick-up, private transfer from hotel to clinic/hospital and vice versa


Accommodations
6 nights stay in a three-star to five-star hotel offered which is preferably near the clinic or hospital


Other Services
24-hour on-call assistance, interpreter, SIM card and internet

Note: The medicines and other aftercare items included in this package are the necessary items prescribed by the surgeon.
Also, the doctors and hotels and clinics which are included in the package are offered by Ariana Medicare Tour Services to the patient. There may be other doctors whom the patients are considered and the price might be different. Based on a new policy of the Ministry of Foreign Affairs, the citizens of the USA, UK, and Canada are included in different logistic services.

DENTAL BRACES IN IRAN: ALL YOU NEED TO KNOW

Orthodontic treatment is primarily used to prevent and correct “bite” irregularities. Several factors may contribute to such irregularities, including genetic factors, the early loss of primary (baby) teeth, and damaging oral habits (such as thumb sucking and developmental problems).Orthodontic irregularities may be present at birth or develop during toddlerhood or early childhood. Crooked teeth hamper self-esteem and make good oral homecare difficult, whereas straight teeth help minimize the risk of tooth decay and childhood periodontal disease.
Iran, with its large number of professional dentists, advanced facilities and attractive prices, is a suitable place to perform your dental procedures, especially orthodontics. So, here is everything you need to know about getting dental braces in Iran. This includes procedures, reasons, benefits, costs, recovery and all related issues.

WHAT IS ORTHODONTICS?

Orthodontics is a specialist branch of dentistry. The term "orthodontics" can be broken down into two Greek words - "orthos" meaning straight or correct and "dontics" meaning teeth. Orthodontics therefore describes the practice of straightening misaligned teeth or malocclusions. Dentists who specialize in orthodontics can help manage abnormal positioning of the teeth, jaws and face.

Why does early orthodontic treatment make sense?

Some children display early signs of minor orthodontic irregularities. In such cases, the pediatric dentist may choose to monitor the situation over time without providing intervention. However, for children who display severe orthodontic irregularities, early orthodontic treatment can provide many benefits, including:

  • Enhanced self-confidence and aesthetic appearance.
  • Increased likelihood of properly aligned and spaced adult teeth.
  • Reduced risk of childhood cavities, periodontal disease, and tooth decay.
  • Reduced risk of protracted orthodontic treatments in later years.
  • Reduced risk of tooth, gum, and jawbone injury.
  • Increased likelihood of proper jaw growth.
  • Reduced risk of bruxing (grinding of teeth).
  • Reduced risk of impacted adult teeth.
  • Reduced risk of speech problems.

Should I Get Braces?

There are a number of issues that can cause a person to require braces, including:

Small mouths:  Because they leave less room for teeth to grow, smaller mouths can promote crowding once permanent teeth begin growing.
Tongue Thrusting: Some kids push their tongues forward against the lips, which can cause an open bite, a protrusion of teeth or other issues.
Extra teeth:  Some people develop extra teeth, which can cause crowding. Other people suffer traumatic injuries or untimely tooth loss, which can also cause dental issues.
Misaligned jaw structure:  This can affect the bite and cause difficulty chewing. It can also contribute to Temporomandibular Joint Disorder.
Bad habits:  Some people may experience alignment issues, when they engage in thumb sucking during and beyond infancy.

While accidents and bad habits can cause alignment problems, most people inherit their dental issues. Just like every other part of the body, genetics play a key role in determining whether our teeth will be straight or crooked.

WHY CHOOSE IRAN FOR ORTHODONTICS?

While having healthy teeth is important to many, not everyone can afford it. Under these circumstances, dental tourism puts an end to all restrictions and enables people not only to perform their desired   dental procedure , but also to create exceptional travel experiences.
In the first place, the idea of traveling to Iran may not seem appealing. However, considering all the benefits, you will realize how much you will gain by traveling to this country. Let's count them for you here.

First of all, traveling to Iran not only saves you money, but also becomes a memorable experience. Just look at a few photos of the country and read the stories of our patients in Iran. 
Second, if it were not for the great expertise of Iranian dentists, it would not have been possible for the country to surpass other dental destinations. Iranian dentists / orthodontists have attended orthodontic certificates in the world's top universities. They are equipped with years of experience and records of successful treatments.

Third, clean and well-organized dental clinics in Iran are no different from clinics in many developed countries. You can easily find trained orthodontists in Iran who work in various dental clinics in Iran, especially in large cities such as Tehran, Mashhad, Isfahan, Shiraz and Tabriz.

When can my child begin early orthodontic treatment?

Dentists recognize three age-related stages of orthodontic treatment. These stages are described in detail below:

Stage 1: Early treatment (2 - 6 years old)

Stage 2: Middle dentition (6-12 years old)

Stage 3: adolescent dentition (13+ years old)

Early orthodontic treatment aims to guide and regulate the width of both dental arches. The main goal of early treatment is to provide enough space for the permanent teeth to erupt correctly. Good candidates for early treatment include: children who have difficulty biting properly, children who lose baby teeth early, children whose jaws click or grind during movement, bruxers, and children who use the mouth (as opposed to the nose and mouth) to breathe.

Functional Orthodontics in Iran

A functional appliance is a type of brace used to correct skeletal problems in growing children. Growth modification is used using orthopedic forces to correct the jaws not just the teeth. Functional appliances may be either fixed or removable.

Traditional Braces

It is the most common type of teeth braces. It is made of high-grade stainless steel and has metal brackets cemented to each tooth. The brackets interconnect with each other with a thin arch wire, which produces pressure on the teeth and causes it to move slowly in the desired position.

Ceramic Braces

This type of teeth braces works like traditional braces, except that the brackets are clear, transparent ceramic material. The most popular type of teeth braces as it is less visible than traditional metal braces.

How is orthodontics performed in Iran?

The method of preparing dental braces consists of three steps. They are the process of examination, taking braces and monthly check-ups. 
To prepare your dental braces in Iran, you must go through the first step in your country. After seeing an orthodontist, you will be asked to have a dental radiograph, a plaster cast, a dental x-ray, and a clinical examination.
Using these prerequisites, your orthodontist in Iran determines the duration of treatment and the type of your device. The orthodontist will then place your dental implants / braces in your mouth and secure them in place.
Regular follow-up visits are needed to check with your dentist about the progress of your treatment. Once your dentist approves, your treatment will end and the devices will be removed.

DIFFERENT TYPES OF ORTHODONTIC APPLIANCES

Appliances fall into two categories: fixed and removable. Depending on the case, orthodontists recommend one of them.

A removable appliance is  made from a plastic plate with wires coming from the sides. These grip the teeth to keep the brace in place. Removable appliances have a limited number of uses, mainly because they are restricted to moving single teeth and widening either the upper or lower arches.

Fixed appliances like braces are  attached to the teeth by metal bands or special cement. They aren't normally taken off until treatment is complete. Removable appliances, such as clear aligners, are typically worn some 22 hours per day, but may be easily taken off as needed.

There is also a type of transparent bracket known as a transparent aligners , often invisible, which has the same function as regular braces but is invisible and more comfortable and convenient.

What is the price of dental braces in Iran?

Like other treatments, the price of orthodontics in Iran is much more affordable than in other countries. For example, buying dental braces in Iran costs from about $ 500 to $ 900 (depending on the device). However, the same services cost around $ 3,000 to $ 8,000 in the United States, $ 3,500 and $ 6,000 in the United Kingdom, and $ 2,500 and $ 3,000 in India.

WHAT TO EXPECT AFTER GETTING DENTAL BRACES?

Getting braces put on your teeth doesn’t hurt. It takes between one to two hours to have braces put on your teeth.
First, your orthodontist puts bands around your back molars. This may involve some slight pressure or pinching, but it won’t be painful.
Then, your orthodontist applies a special glue to your teeth that doesn’t taste good, but doesn’t hurt. Your orthodontist glues brackets onto each of your teeth, and then connects the brackets with wires. Finally, everything is secured with elastic bands.
Within a few hours, you will begin to develop some pain and soreness in your teeth and gums. This pain will probably last about a week. During that time, you will be getting used to the feeling of your new braces. The wires and rubber bands put pressure on your teeth to slowly straighten them. This pressure takes some time to get used to .

During the first week after getting braces, you may experience:

When they’re tightened

Braces fix alignment problems by putting constant pressure on your teeth. Over time, your teeth move into a straighter position. How much time this takes depends on a few factors, including what type of appliance you’re using and what problems your orthodontist is trying to fix. Most people wear braces for about two years.
When you have braces, you need to visit your orthodontist every few weeks for adjustments. At these appointments, your orthodontist evaluates your teeth and checks on the amount of pressure the braces are producing. As your teeth move and the tension decreases, the braces lose effectiveness. At each visit, your orthodontist tightens the wires, springs, or elastic bands to increase the tension.
Getting your braces tightened can cause pain and soreness for a few days. The discomfort shouldn’t be as bad as when you first got your braces on. After a few days, you will get used to the increased pressure on your teeth. An over-the-counter pain reliever should be enough to control the pain
.

The braces will stay in your mouth for around 18-24 months. You need to take good care of them during this period. You’ll be recommended to use special orthodontics toothbrush, toothpaste, and floss.
In order to maintain the health of your teeth after getting braces, make sure that you brush them carefully after each meal and before going to bed. Floss at least once a day, and visit your dentist regularly
.

FREQUENTLY ASKED QUESTIONS ABOUT DENTAL BRACES

When should you start orthodontic treatment?

There’s no specific time to start orthodontic treatment. However,the best age to start orthodontic treatment with braces is when a child has lost most or all of his or her baby teeth and has the majority of their permanent teeth. This usually happens between the ages of 11 and 14. 

How do I know if I'm a candidate for braces?

You may be a good candidate for braces if you have the following bite problems: Crossbite: One or more of your top teeth don't line up properly with your bottom teeth. Open bite: Your top and bottom front teeth don't meet as they should. Overbite: Your top front teeth cover too much of your bottom front teeth.

what are some complications of orthodontics?

Orthodontic treatment is a cosmetic-medical procedure which corrects your bad bite. This treatment may cause some complications. They include:

  • Tooth decay and gum disease: if you do not clean the parts of your teeth that are under the wires, the risk of decay or gum disease increases.
  • Sleep apnea: this sleeping disorder has been observed when headgears are applied.
  • Soft tissue injury: dental braces and wires may hurt your cheeks and gums traumatically, like mouth ulcers.
  • Repeated teeth misalignment: your teeth may misalign themselves again (relapse) after a while. To prevent this from happening, clear aligners are used after fixed braces are removed.

With all being said, it is worth mentioning that these complications rarely occur, and they can be prevented by sticking to a regular oral hygiene plan.

do braces cause headaches?

Headaches are a common side effect of orthodontics treatment. Those who experience headaches when wearing braces most often have them after tightening or adjusting the braces. When braces are tightened, pressure is placed on the teeth to gradually move them into their ideal positions. 

can dental brace cause bone loss?

Orthodontics can cause bone loss in those who have weak jawbones or those who are suffering from jawbone deterioration. Therefore, during the examination process, your dentist/orthodontist shall determine whether you can get dental braces depending on your jaw condition.

،،

To inquire about the customized package, kindly contact us via email, WhatsApp, Instagram. The above packages are customizable to fit different budgets. In addition, the packages for other cosmetics or medical procedures will be arranged immediately upon request .

WhatsApp Contact Us