English واتسابWhatsapp

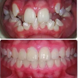
الصور قبل و بعد

ألقِ نظرة على صور "قبل وبعد" الأشخاص الذين أجروا تقويم الأسنان في إيران

ماذا نقدم

إجراء تقويم الأسنان
زيارات العيادة والطبيب ، تقويم الأسنان في العيادة ، رعاية ما بعد الجراحة ، التعافي ، والمتابعة

النقل
النقل من المطار ، النقل الخاص من الفندق إلى العيادة / المستشفى والعكس


أماكن الإقامة
الإقامة لمدة 6 ليالٍ في فندق من فئة ثلاث نجوم إلى خمس نجوم ويفضل أن يكون بالقرب من العيادة أو المستشفى


خدمات الأخري
مساعدة عند الطلب على مدار الساعة ، مترجم طبي ، بطاقة شريحة الجوال وإنترنت

ملاحظة: الأدوية ومواد العناية اللاحقة الأخرى المدرجة في هذه العبوة هي العناصر الضرورية التي يصفها الجراح. وكذلك الأطباء والفنادق والعيادات التي يشملها يتم تقديم الحزمة من قبل ​شرکة آريانا لخدمات للسياحة الطبية للمريض. قد يكون هناك آخرون الأطباء الذين يعتبرون المرضى وقد يكون الثمن مختلف

احصل على استشارة مجانية

لم تقرر بعد؟ يتيح لنا مساعدتك ، إنه مجاني

تقويم الأسنان في إيران: كل ما تحتاج إلى معرفته

يستخدم علاج تقويم الأسنان في المقام الأول لمنع وتصحيح الاضطرابات "العضة". قد تساهم عدة عوامل في حدوث مثل هذه المخالفات ، بما في ذلك العوامل الوراثية ، والفقدان المبكر للأسنان (الطفل) الأولية ، وإتلاف عادات الفم (مثل مص الإبهام ومشاكل النمو). . تعوق الأسنان الملتوية احترام الذات وتجعل الرعاية المنزلية الجيدة عن طريق الفم صعبة ، بينما تساعد الأسنان المستقيمة في تقليل مخاطر تسوس الأسنان وأمراض اللثة في مرحلة الطفولة
تعد إيران ، مع العدد الكبير من أطباء الأسنان المحترفين والمرافق المتطورة والأسعار الجذابة ، مكانًا مناسبًا لإجراء عمليات طب الأسنان الخاصة بك ، وخاصة تقويم الأسنان. لذا ، إليك كل ما تحتاج لمعرفته حول إجراء تقويم الأسنان في إيران. وهذا يشمل الإجراءات والأسباب والفوائد والتكاليف والاسترداد وجميع القضايا ذات الصلة

ما هو تقويم الأسنان؟

تقويم الأسنان هو فرع متخصص في طب الأسنان. يمكن تقسيم مصطلح "تقويم الأسنان" إلى كلمتين يونانيتين - "اورتو" تعني مستقيم أو صحيح و "دونتيك" تعني الأسنان. لذلك فإن تقويم الأسنان يصف ممارسة تقويم الأسنان المنحرفة أو سوء الإطباق. يمكن لأطباء الأسنان المتخصصين في تقويم الأسنان المساعدة في إدارة الوضع غير الطبيعي للأسنان والفكين والوجه

لماذا العلاج المبكر لتقويم الأسنان منطقي؟

يظهر على بعض الأطفال علامات مبكرة على وجود اختلالات طفيفة في تقويم الأسنان. في مثل هذه الحالات ، قد يختار طبيب أسنان الأطفال مراقبة الموقف بمرور الوقت دون الحاجة إلى التدخل. ومع ذلك ، بالنسبة للأطفال الذين يظهرون عدم انتظام شديد في تقويم الأسنان ، يمكن أن يوفر علاج تقويم الأسنان المبكر العديد من الفوائد ، بما في ذلك

تعزيز الثقة بالنفس والمظهر الجمالي
زيادة احتمالية اصطفاف الأسنان وتباعدها بشكل صحيح
تقليل مخاطر تسوس الأسنان وأمراض اللثة وتسوس الأسنان عند الأطفال
تقليل مخاطر علاجات تقويم الأسنان المطولة في السنوات اللاحقة

تقليل مخاطر إصابة الأسنان واللثة وعظام الفك
زيادة احتمال نمو الفك السليم
تقليل مخاطر الجرح (صرير الأسنان)
تقليل مخاطر إصابة أسنان البالغين
تقليل مخاطر مشاكل الكلام

هل يجب أن أحصل على تقويم الأسنان؟

هناك عدد من المشكلات التي يمكن أن تتسبب في طلب الشخص لتقويم الأسنان ، بما في ذلك

أفواه صغيرة: لأنها تترك مساحة أقل لنمو الأسنان ، يمكن للأفواه الأصغر أن تعزز الازدحام بمجرد أن تبدأ الأسنان الدائمة في النمو

دفع اللسان: يقوم بعض الأطفال بدفع ألسنتهم للأمام على الشفاه ، مما قد يتسبب في حدوث عضة مفتوحة أو بروز الأسنان أو مشاكل أخرى

أسنان زائدة: بعض الناس يطورون أسنانًا زائدة ، مما قد يسبب الازدحام. يعاني الأشخاص الآخرون من إصابات رضحية أو فقدان الأسنان في وقت مبكر ، مما قد يؤدي أيضًا إلى مشاكل في الأسنان

هيكل الفك المنحرف: يمكن أن يؤثر ذلك على اللدغة ويسبب صعوبة في المضغ. يمكن أن يساهم أيضًا في اضطراب المفصل الصدغي الفكي

العادات السيئة: قد يعاني بعض الأشخاص من مشاكل في المحاذاة ، عندما ينخرطون في مص الإبهام أثناء الطفولة وبعدها

في حين أن الحوادث والعادات السيئة يمكن أن تسبب مشاكل في المحاذاة ، فإن معظم الناس يرثون مشاكل أسنانهم. تمامًا مثل أي جزء آخر من الجسم ، تلعب الجينات دورًا رئيسيًا في تحديد ما إذا كانت أسناننا ستكون مستقيمة أو ملتوية

لماذا تختار ايران لتقويم الاسنان؟

في حين أن الحصول على أسنان صحية أمر مهم للكثيرين ، إلا أنه لا يستطيع الجميع تحمل كلفته. في ظل هذه الظروف ، تضع سياحة الأسنان حداً لجميع القيود وتمكن الأشخاص ليس فقط من إجراء إجراءات الأسنان المرغوبة ، ولكن أيضًا لخلق تجارب سفر استثنائية. في المقام الأول ، قد لا تبدو فكرة السفر إلى إيران جذابة. ومع ذلك ، بالنظر إلى جميع الفوائد ، ستدرك مقدار ما ستكسبه من السفر إلى هذا البلد. دعونا نحسبها لك هنا أولاً وقبل كل شيء ، السفر إلى إيران لا يوفر لك المال فحسب ، بل يصبح أيضًا تجربة لا تُنسى. ما عليك سوى إلقاء نظرة على بعض الصور الخاصة بالدولة وقراءة قصص مرضانا في إيران. ثانيًا ، لولا الخبرة الكبيرة لأطباء الأسنان الإيرانيين ، لما كان من الممكن للبلاد أن تتجاوز وجهات طب الأسنان الأخرى. حضر أطباء الأسنان / أخصائيو تقويم الأسنان الإيرانيون شهادات تقويم الأسنان في أفضل الجامعات في العالم. إنهم مجهزون بسنوات من الخبرة وسجلات العلاجات الناجحة. لا تختلف عيادات الأسنان الثالثة والنظيفة والمنظمة جيدًا في إيران عن العيادات في العديد من البلدان المتقدمة. يمكنك بسهولة العثور على أخصائيي تقويم الأسنان المدربين في إيران الذين يعملون في عيادات طب الأسنان المختلفة في إيران ، خاصة في المدن الكبيرة مثل طهران ومشهد وأصفهان وشيراز وتبريز

متى يمكن لطفلي أن يبدأ العلاج المبكر لتقويم الأسنان؟

يتعرف أطباء الأسنان على ثلاث مراحل لعلاج تقويم الأسنان مرتبطة بالعمر. يتم وصف هذه المراحل بالتفصيل أدناه

ٍ المرحلة 3: أسنان المراهقين (13 سنة فما فوق)

المرحلة 2: الأسنان الوسطى (6-12 سنة)

المرحلة 1: العلاج المبكر (2-6 سنوات)

يهدف علاج تقويم الأسنان المبكر إلى توجيه وتنظيم عرض كلا قوسي الأسنان. الهدف الرئيسي من العلاج المبكر هو توفير مساحة كافية لبروز الأسنان الدائمة بشكل صحيح. يشمل المرشحون الجيدون للعلاج المبكر: الأطفال الذين يجدون صعوبة في العض بشكل صحيح ، والأطفال الذين فقدوا أسنان الطفل مبكرًا ، والأطفال الذين تنقر فكهم أو يطحنون أثناء الحركة ، والبراكسير ، والأطفال الذين يستخدمون الفم (على عكس الأنف والفم) للتنفس

تقويم الأسنان الوظيفي في إيران

الجهاز الوظيفي هو نوع من الدعامة المستخدمة لتصحيح مشاكل الهيكل العظمي عند نمو الأطفال. يستخدم تعديل النمو باستخدام قوى تقويم العظام لتصحيح الفكين وليس الأسنان فقط. قد تكون الأجهزة الوظيفية ثابتة أو قابلة للإزالة

الأقواس التقليدية

إنه أكثر أنواع تقويم الأسنان شيوعًا. إنه مصنوع من الفولاذ المقاوم للصدأ عالي الجودة وله أقواس معدنية مثبتة في كل سن. ترتبط الأقواس ببعضها البعض بسلك رفيع مقوس ، مما ينتج عنه ضغط على الأسنان ويؤدي إلى تحركها ببطء في الموضع المطلوب

تقويم سيراميك

يعمل هذا النوع من تقويم الأسنان مثل الأقواس التقليدية ، باستثناء أن الأقواس شفافة وشفافة من مادة السيراميك. أكثر أنواع تقويم الأسنان شيوعًا حيث أنه أقل وضوحًا من تقويم الأسنان المعدني التقليدي

كيف يتم اجراء تقويم الاسنان في ايران؟

تتكون طريقة تحضير تقويم الأسنان من ثلاث خطوات. هم عملية الفحص وأخذ تقويم الأسنان والفحوصات الشهرية. لتحضير تقويم الأسنان الخاص بك في إيران ، يجب أن تمر بالخطوة الأولى في بلدك. بعد زيارة أخصائي تقويم الأسنان ، سيُطلب منك الحصول على صورة شعاعية للأسنان ، وجبيرة بالجبس ، وأشعة سينية للأسنان ، وفحص سريري ، وباستخدام هذه الشروط ، يحدد أخصائي تقويم الأسنان في إيران مدة العلاج ونوع جهازك. سيقوم أخصائي تقويم الأسنان بعد ذلك بوضع غرسات / دعامات الأسنان في فمك وتثبيتها في مكانها. هناك حاجة إلى زيارات متابعة منتظمة للتحقق مع طبيب أسنانك بشأن تقدم علاجك. بمجرد موافقة طبيب الأسنان الخاص بك ، سينتهي علاجك وستتم إزالة الأجهزة

أنواع مختلفة من أجهزة تقويم الأسنان

تنقسم الأجهزة إلى فئتين: الثابتة والمتحركة. اعتمادًا على الحالة ، يوصي أخصائيو تقويم الأسنان بواحد منهم

جهاز قابل للإزالة مصنوع من صفيحة بلاستيكية مع أسلاك من الجانبين. تمسك هذه الأسنان للحفاظ على الدعامة في مكانها. للأجهزة القابلة للإزالة عدد محدود من الاستخدامات ، ويرجع ذلك أساسًا إلى اقتصارها على تحريك الأسنان المفردة وتوسيع الأقواس العلوية أو السفلية

يتم توصيل الأجهزة الثابتة مثل الأقواس بالأسنان بشرائط معدنية أو أسمنت خاص. لا يتم خلعها عادة حتى اكتمال العلاج. عادةً ما يتم ارتداء الأجهزة القابلة للإزالة ، مثل التقويم الشفاف ، حوالي 22 ساعة يوميًا ، ولكن يمكن خلعها بسهولة حسب الحاجة

هناك أيضًا نوع من الأقواس الشفافة المعروفة باسم التقويم الشفاف ، غالبًا ما تكون غير مرئية ، والتي لها نفس وظيفة الأقواس العادية ولكنها غير مرئية وأكثر راحة وملاءمة

ما هو سعر تقويم الاسنان في ايران؟

مثل العلاجات الأخرى ، فإن سعر تقويم الأسنان في إيران ميسور التكلفة مقارنة بالدول الأخرى. على سبيل المثال ، شراء تقويم الأسنان في إيران يكلف من حوالي 500 دولار إلى 900 دولار (حسب الجهاز). ومع ذلك ، تكلف نفس الخدمات حوالي 3000 دولار إلى 8000 دولار في الولايات المتحدة ، و 3500 دولار و 6000 دولار في البريطانيا ، و 2500 دولار و 3000 دولار في الهند

ما الذي يمكن توقعه بعد الحصول على دعامات الأسنان؟

لا يضر وضع تقويم الأسنان على أسنانك. يستغرق وضع تقويم الأسنان على أسنانك ما بين ساعة إلى ساعتين ، أولاً ، يضع أخصائي تقويم الأسنان أربطة حول أضراسك الخلفية. قد يتضمن هذا بعض الضغط الخفيف أو القرص ، لكنه لن يكون مؤلمًا

بعد ذلك ، يقوم أخصائي تقويم الأسنان بوضع غراء خاص على أسنانك لا يكون طعمه جيدًا ، ولكنه لا يؤذي. يقوم أخصائي تقويم الأسنان الخاص بك بلصق الأقواس على كل من أسنانك ، ثم يقوم بتوصيلها بالأسلاك. أخيرًا ، كل شيء مؤمن بشرائط مطاطية

في غضون ساعات قليلة ، ستبدأ في الشعور ببعض الألم والتقرح في أسنانك ولثتك. من المحتمل أن يستمر هذا الألم لمدة أسبوع تقريبًا. خلال ذلك الوقت ، سوف تعتاد على شعور تقويم الأسنان الجديد. تضغط الأسلاك والأربطة المطاطية على أسنانك لتقويمها ببطء. يستغرق هذا الضغط بعض الوقت لتعتاد عليه

خلال الأسبوع الأول بعد إجراء تقويم الأسنان ، قد تشعر بما يلي

ضغط ووجع أسنانك ولثتك خاصة عند المضغ
تقرحات أو ألم في الجزء الداخلي من الشيكات الخاصة بك
عدم الراحة أو الجروح في لسانك (من تشغيله عبر الأقواس الجديدة)

عندما يتم تشديدهم

تعمل الأقواس على إصلاح مشاكل المحاذاة عن طريق الضغط المستمر على أسنانك. بمرور الوقت ، تتحرك أسنانك في وضع أكثر استقامة. يعتمد مقدار الوقت الذي يستغرقه هذا على بعض العوامل ، بما في ذلك نوع الجهاز الذي تستخدمه والمشكلات التي يحاول أخصائي تقويم الأسنان إصلاحها. يرتدي معظم الناس تقويم الأسنان لمدة عامين تقريبًا ، وعندما يكون لديك تقويم الأسنان ، فأنت بحاجة إلى زيارة أخصائي تقويم الأسنان كل بضعة أسابيع لإجراء التعديلات. في هذه المواعيد ، يقوم أخصائي تقويم الأسنان بتقييم أسنانك والتحقق من مقدار الضغط الذي ينتج عن تقويم الأسنان. عندما تتحرك أسنانك ويقل التوتر ، تفقد الأقواس فعاليتها. في كل زيارة يقوم أخصائي تقويم الأسنان الخاص بك بشد الأسلاك أو النوابض أو الأربطة المرنة لزيادة الشد ، وقد يتسبب شد تقويم الأسنان في الشعور بالألم والوجع لبضعة أيام. لا ينبغي أن يكون الشعور بعدم الراحة بنفس السوء الذي كان عليه عندما وضعت تقويم الأسنان لأول مرة. بعد أيام قليلة ستعتاد على الضغط المتزايد على أسنانك. يجب أن يكون مسكن الآلام الذي لا يحتاج إلى وصفة طبية كافياً للسيطرة على الألم

ستبقى الأقواس في فمك لحوالي 18-24 شهرًا. يجب أن تعتني بهم جيدًا خلال هذه الفترة. يُنصح باستخدام فرشاة أسنان ومعجون أسنان وخيط تنظيف خاص لتقويم الأسنان ، ومن أجل الحفاظ على صحة أسنانك بعد تركيب التقويم ، تأكد من تنظيفها بعناية بعد كل وجبة وقبل الذهاب إلى الفراش. استخدم الخيط مرة يوميًا على الأقل وقم بزيارة طبيب الأسنان بانتظام

أسئلة متكررة حول دعامات الأسنان

متى يجب أن تبدأ علاج تقويم الأسنان؟

لا يوجد وقت محدد لبدء علاج تقويم الأسنان. ومع ذلك ، فإن أفضل سن لبدء علاج تقويم الأسنان باستخدام تقويم الأسنان هو عندما يفقد الطفل معظم أو كل أسنانه اللبنية ويكون لديه غالبية أسنانه الدائمة. يحدث هذا عادةً بين سن 11 و 14 عامًا

كيف أعرف أنني مرشح لتقويم الأسنان؟

قد تكون مرشحًا جيدًا لتقويم الأسنان إذا كنت تعاني من مشاكل العض التالية: العضة المتقاطعة: لا يصطف واحد أو أكثر من أسنانك العلوية بشكل صحيح مع أسنانك السفلية. العضة المفتوحة: أسنانك الأمامية العلوية والسفلية لا تلتقي كما ينبغي. فرط: أسنانك الأمامية العلوية تغطي الكثير من أسنانك الأمامية السفلية

ما هي بعض مضاعفات تقويم الاسنان؟

علاج تقويم الأسنان هو إجراء طبي تجميلي يصحح سوء قضمك. قد يسبب هذا العلاج بعض المضاعفات. يشملوا

تسوس الأسنان وأمراض اللثة: إذا لم تقم بتنظيف أجزاء أسنانك الموجودة تحت الأسلاك ، فإن خطر الإصابة بالتسوس أو أمراض اللثة يزيد

توقف التنفس أثناء النوم: لوحظ اضطراب النوم هذا عند وضع أغطية الرأس

إصابة الأنسجة الرخوة: دعامات الأسنان والأسلاك قد تؤذي الخدين واللثة بشكل رضحي ، مثل تقرحات الفم

تكرار عدم محاذاة الأسنان: قد تتعارض أسنانك مع نفسها مرة أخرى (الانتكاس) بعد فترة. لمنع حدوث ذلك ، يتم استخدام التقويم الشفاف بعد إزالة الأقواس الثابتة

مع كل ما يقال ، تجدر الإشارة إلى أن هذه المضاعفات نادرًا ما تحدث ، ويمكن الوقاية منها بالالتزام بخطة منتظمة لنظافة الفم

هل يسبب تقويم الأسنان الصداع؟

يعتبر الصداع من الآثار الجانبية الشائعة لعلاج تقويم الأسنان. أولئك الذين يعانون من الصداع عند ارتداء الأقواس غالبًا ما يصابون بها بعد شدها أو تعديلها. عندما يتم شد تقويم الأسنان ، يتم الضغط على الأسنان لتحريكها تدريجياً إلى مواقعها المثالية

هل يمكن أن تسبب دعامة الأسنان فقدان العظام؟

يمكن أن يتسبب تقويم الأسنان في فقدان العظام لأولئك الذين يعانون من ضعف في عظام الفك أو أولئك الذين يعانون من تدهور عظم الفك. لذلك ، أثناء عملية الفحص ، يجب على طبيب الأسنان / أخصائي تقويم الأسنان تحديد ما إذا كان يمكنك الحصول على تقويم الأسنان اعتمادًا على حالة الفك لديك

،،

للاستعلام عن الحزمة المخصصة ، يرجى التواصل معنا عبر البريد الإلكتروني ، واتساب أو انستغرام. الحزم المذكورة أعلاه قابلة للتخصيص لتناسب الميزانيات المختلفة. بالإضافة إلى ذلك ، سيتم ترتيب حزم مستحضرات التجميل أو الإجراءات الطبية الأخرى فور الطلب

واتساب اتصل بنا