English Whatsapp

إذا لم تكن صحة فمك جيدة ، فسوف تتراكم العناصر الغذائية المتبقية على خط اللثة وتشكل طبقة من البلاك الذي يهيج اللثة. يمكن أن تؤدي هذه الحالة إلى فقدان الأسنان إذا تركت دون علاج. العلاج المناسب لتشكيل البلاك في المراحل المبكرة عن طريق تنظيف الأسنان و كشط الجذور يعيد الحالة الصحية للأسنان واللثة. يرجى التعرف على علاج الأسنان هذا وفوائد تنظيف الأسنان وكشط الجذور في إيران مع شرکة آريانا لخدمات السياحة الطبية

لماذا إيران؟
أنه يمكنك إجراء أي إجراء في إيران بسعر لن تجده في أي مكان آخر. ليس ذلك فحسب ، بل إن كفاءة جراحي التجميل الإيرانيين استثنائية والمستشفيات والعيادات تصل إلى أحدث المعايير المهنية. بالإضافة إلى ذلك ، إيران بلد رائع للزيارة. اسأل أي شخص زار البلاد

لماذا شرکة آريانا لخدمات السياحة الطبية؟
مع شرکة آريانا لخدمات السياحة الطبية ، سيكون لديك تحجيم الأسنان وتخطيط الجذر وسيتم ترتيب رحلتك في نفس الوقت. سيتم القضاء على جميع متاعب السفر. بصفتنا الميسر الرائد للسياحة الطبية في إيران ، فقد ساعدنا حتى الآن مئات الأشخاص في إجراء جراحاتهم التجميلية في إيران بسلاسة قدر الإمكان

،،

تنظيف أو تقليح الأسنان و كشط الجذور في إيران: الحقيقة التي تحتاج إلى معرفتها

عندما تكون نظافة الأسنان غير كافية أو فعالة ، تتشكل البلاك على سطح السن بالقرب من خط اللثة وتحته. البلاك هو طبقة رقيقة من البكتيريا تلتصق بخط اللثة في السن وتهيج اللثة. تصبح طبقات البلاك أكثر صعوبة عن طريق التراكم وتصبح ممتصة من قبل المعادن اللعابية في كتلة. تسبب البلاك المزيد من الالتهاب والضرر لأنسجة اللثة ، مما يؤدي إلى تكوين جيوب اللثة التي ، إذا تركت دون علاج ، يمكن أن تؤدي إلى فقدان العظام والأسنان
ما لم يكن المرض متقدما ، فإن طريقة تحجيم الأسنان وتخطيط الجذر ، والمعروفة أيضا باسم علاج التنظيف العميق أو علاج اللثة ، يمكن أن تعكس الحالة واستعادة صحة الأنسجة اللثوية

نقوم بعلاج العدوي و التهابات اللثة: بالتنظيف العميق للثة، باستخدام أداة كاشطة والليزر لإزالة طبقة البلاك والجير،وتنظیف العميق لجذور الأسنان بتقنية اوزونترابي حيث تعتبرطرق غير جراحية.

متى يجب إجراء تنظيف أو تقليح الأسنان و كشط الجذور؟

قد يوصى بالتحجيم وتخطيط الجذر عند تقييم اللثة أو أمراض اللثة الفحص يكشف عن أدلة على عدوى اللثة والمراحل المبكرة من فقدان العظام في الفك. لتشخيص أمراض اللثة ، سيقوم فريقنا بقياس الفراغات بين الأسنان واللثة وأخذ الأشعة السينية لتقييم كمية العظام المحيطة بالأسنان. على الرغم من إجراء فحص شامل لأمراض اللثة هناك حاجة من أجل تشخيص أمراض اللثة ، وهناك عدد من العلامات والأعراض التي غالبا ما تشير إلى وجوده ، بما في ذلك

رائحة الفم الكريهة أو الطعم السيئ في الفم
اللثة التي تنزف عند تنظيف الأسنان بالفرشاة أو الخيط
لثة حمراء أو منتفخة أو طرية
انحسار خط اللثة
الأسنان التي يبدو أنها تتحول أو تشعر بالارتخاء
القيح موجود بين أسنانك ولثتك
جيوب اللثة أكبر من 3 مم في العمق
دليل التصوير الشعاعي على فقدان العظام حول الأسنان

كم من الوقت يستغرق تنظيف أو تقليح الأسنان و كشط الجذور؟

يتم الانتهاء من ​تنظيف أو تقليح الأسنان و كشط الجذور بشكل عام في غضون 1 - 4 زيارات ، اعتمادا على مدى الحالة. عادة ما يعالج طبيب الأسنان الإيراني ربع الفم في كل زيارة ، مما يسمح له بإزالة رواسب البلاك والجير تماما من تحت خط اللثة وتنظيف جيوب اللثة بأكبر قدر ممكن من الفعالية. يتم جدولة كل علاج تنظيف أو تقليح الأسنان و كشط الجذور في اللثة الممتازة وفقا للاحتياجات الفردية لضمان حصول المرضى على الرعاية الشخصية والاهتمام الذي يستحقونه

كيف يتم قياس فعالية تنظيف أو تقليح الأسنان و كشط الجذور في إيران؟

أثناء إجراءات تقليح الأسنان و كشط الجذور، غالبا ما يستخدم طبيب الأسنان الإيراني تقنية متقدمة تعرف باسم التنظير السمحاقي. تسمح لهم هذه الأداة بتصور أسطح الأسنان من خلال التكبير والإضاءة. عند استخدام التنظير السمحاقي ، يمكن أن تزيد فعالية التحجيم وتخطيط الجذر بشكل كبير

بعد معالجة جميع مناطق الفم باستخدام تقليح الأسنان و كشط الجذور، سيقوم طبيب الأسنان الإيراني بجدولة زيارة متابعة لتقييم نتائج العلاج. تتمثل أهداف هذا العلاج غير الجراحي لأمراض اللثة في منع المزيد من تدمير عظم الفك ، وشفاء أنسجة اللثة المصابة (أو العدوى النشطة) ، وتقليل أعماق جيوب اللثة. غالبا ما يعتبر التوسع وتخطيط الجذر فعالا إذا تم تحقيق هذه الأهداف ، وتم الحفاظ على صحة اللثة. قد يوصى بزيارات دورية لصيانة اللثة للمساعدة في تقليل خطر حدوث نوبات في المستقبل ومنع المرض من التقدم

إجراءات تنظيف أو تقليح الأسنان و كشط الجذور في إيران؟

سوف تستخدم أداة محمولة باليد لكشط البلاك المتصلب من سطح أسنانك. إذا كان يجب عليهم المضي قدما تحت خط اللثة ، فغالبا ما يطلق عليهم التنظيف العميق. سيتم استخدام مخدر موضعي لتحييد أي الانزعاج الذي ستختبره مع اللثة. تخطيط الجذر أعمق بعد. الهدف هو تنعيم سطح الأسنان والجذور، إزالة البلاك ، وجعل من الصعب الالتزام على الفور المينا مرة أخرى

هل تخطيط المقياس والجذر مؤلم؟

كل من السؤال والإجابة مرتبطان بعتبة الألم للمريض ومدى تحجيم بستان القيقب وتخطيط الجذر ضروري. الإجابة المختصرة هي لا ، الإجراء ليس مؤلما.

ماذا نتوقع بعد عملية تنظيف أو تقليح الأسنان و كشط الجذور؟

بشكل عام ، يكون وقت الاسترداد حوالي أسبوع. قد تشعر بعدم الراحة والنزيف في اللثة لبضعة أيام، في حين أن الحساسية للبرد والحرارة قد تستمر لفترة أطول. يجب عليك اختيار نظام غذائي ناعم وتجنب الأطعمة الصلبة والحارة والحمضية لبضعة أيام

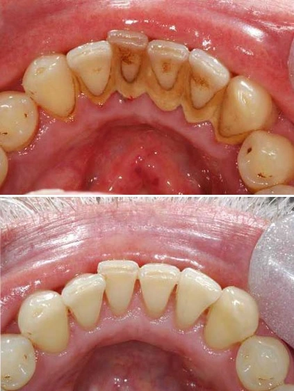
قبل وبعد تحجيم الأسنان وتخطيط الجذر

نصائح الرعاية اللاحقة

هنا ، سنراجع ما قد تفعله تجربة بعد تلقي التحجيم وتخطيط الجذر وكذلك أفضل السبل للحفاظ على أسنانك ولثتك النظيفة حديثا!

الانزعاج والمظهر
أنت قد يكون لديك بعض التهيج والالتهابات لبضعة أيام بعد العلاج. هذا أمر طبيعي ويجب أن يهدأ أثناء الشفاء. إذا كنت تشعر التي تحتاج إليها ، يمكن تناول أدوية الألم دون وصفة طبية.مثل يهدأ الالتهاب ، من المحتمل أن تلاحظ المزيد من التباعد بين أسنانك. هذا شيء جيد! وهذا يعني أن اللوحة التي كانت
لقد ولت العالقة بينهما وأنت في طريقك إلى صحة أفضل ابتسم

النزيف وحساسية الأسنان
من أجل يومين أو ثلاثة أيام، من المحتمل أن يكون لديك بعض النزيف أثناء تنظيف الأسنان بالفرشاة التي يجب أن تزيل مع كل تنظيف بالفرشاة. الحساسية يمكن أن تكون قليلا مكثفة ، وخاصة حساسية درجة الحرارة. قد يعطيك طبيب الأسنان الخاص بك معجون أسنان خصيصا للحساسية التي يجب أن تساعد. حسب شدة حالتك ، قد يوصف لك أيضا مضاد حيوي
غسول الفم ومن المهم والمفيد استخدامه حسب التوجيهات

تقليل التهيج

لبضعة أيام بعد العلاج،تجنب الأطعمة الصلبة والمقرمشة. التمسك الأطعمة الأكثر ليونة تلك القليلة أيام أثناء الشفاء. التغذية الخاصة بك ويمكن أن تعتمد الاحتياجات الغذائية بعد جراحة الفم على عوامل متعددة بما في ذلك صحتك قبل الإجراء ، الإجراء الذي أنت عليه تخضع ، تأثير وظيفة الفم والانتعاش المتوقع. سائل أو ناعم عادة ما يكون النظام الغذائي للأطعمة مطلوبا لبضعة أيام أو أكثر بعد عملية أسنانك. يوصى باختيار الأطعمة الغنية بالمغذيات مثل الفواكه والخضروات ومنتجات الألبان والبروتين. توفر هذه الأنواع من الأطعمة الفيتامينات والمواد المغذية اللازمة للشفاء. هذه تتطلب أنواع الإجراءات في كثير من الأحيان من المرضى الالتزام بالأطعمة اللينة
وتجنب العض أو المضغ مع السن أو المنطقة لفترة من الزمن. من المهم تجنب الأطعمة التالية للأسبوع الأول بعد الجراحة لأنها يمكن أن تسبب الألم وتأخر الشفاء

الأطعمة الغنية بالتوابل
عصائر الحمضيات
الأطعمة التي يصعب مضغها (شرائح اللحم واللحوم اللذيذة)
الأطعمة المقرمشة (الفشار والمعجنات ورقائق البطاطس)
الخبز المقرمش والخبز والبسكويت

يوصى بالبدء بسوائل صافية (العصائر والمرق والشاي وجيل)

نظافة الفم بعد تقليح الأسنان و كشط الجذر

تنظيف الأسنان بالفرشاة بعناية أمر مهم. أن تكون لطيفا ولكن شاملا سوف تساعدك على الحفاظ على صحة أسنانك ولثتك لأنها تستمر في الشفاء من العلاج. استخدام محلول ماء مالح دافئ لشطف فمك يمكن تشعر باللطف وتساعد على تقليل التورم. يمكنك القيام بذلك بقدر ما كنت مثل لبضعة أسابيع. إذا لم تتمكن من إدارة المياه المالحة، فاسأل طبيب أسنان لغسول الفم المضاد للبكتيريا إذا لم يتم تزويدك بالفعل واحد. متابعة مع يمكن أن يقلل التحجيم الموصى به وتخطيط الجذر بشكل كبير من خطر الإصابة مزيد من العدوى ووقف ركود اللثة التي يمكن أن تؤدي إلى العظام و فقدان الأسنان. بمجرد الانتهاء من التنظيف العميق الخاص بك ، تأكد من الحفاظ على جدول إعادة التأهيل الموصى به حتى لا تعود إلى أمراض اللثة. قد تزور أطباء الأسنان من ثلاثة إلى أربعة الوقت في السنة بدلا من الاثنين النموذجيين ، ولكن الوقاية أسهل وأقل تكلفة من العلاج. لا تدع جهودك تمر دون رادع

للاستفسار عن الحزمة المخصصة ، يرجى الاتصال بنا عبر البريد الإلكتروني، واتساب أو انستغرام. الحزم المذكورة أعلاه قابلة للتخصيص لتناسب الميزانيات المختلفة. بالإضافة إلى ذلك ، سيتم ترتيب حزم مستحضرات التجميل أو الإجراءات الطبية الأخرى على الفور عند الطلب

واتساب اتصل بنا